Image Image Image


Quiz: Question 13

1

Question 13

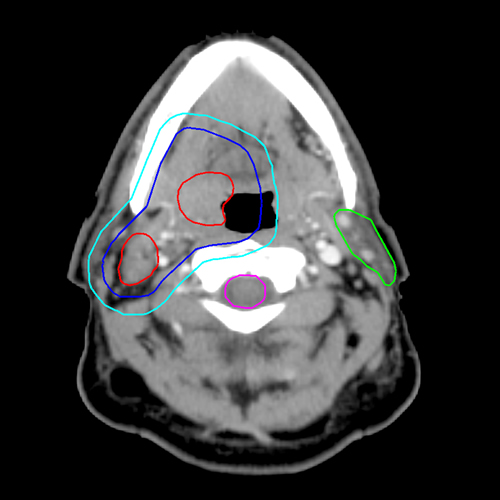
The green outline in the image above identifies which of the following?




 

Question 13 of 15