Image Image Image

Quiz: Question 5

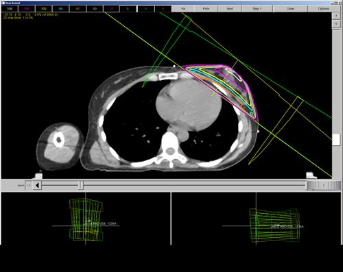
The treatment plan above is:
                                 


Overweighted

 

 

n Page 5 of 10 n