Image Image Image

Quiz: Question 9

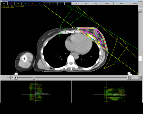
The isodose curves below could be improved by weighting one of the laterals more.
                


 

n Page 9 of 10 n