Lesson: Tumor Treatment Volumes
Example
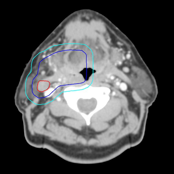
The following “real world” examples from actual patient cases illustrate some of the volumes previously defined.
In this image, the red line delineates the GTV (Gross Tumor Volume), the dark blue line the CTV (Clinical Target Volume), and the light blue line the PTV (Planning Target Volume).

 |
Page 9 of 12 |
 |