Lesson: Breast Module
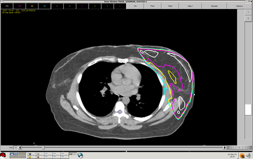
The goal of any treatment plan is to get the prescribed dose to cover the appropriate target with the least amount of collateral damage. The dose inside the target needs to be as homogeneous as possible. For this section, we will use the same basic dosimetric guideline as described earlier; no more than 5% under, and no more than 10% over. While this is the goal of our treatment planning, the patients size, shape and tumor location are all factors in your outcome.

 |
Page 1 of 13 |
 |
|