Lesson: Breast Module
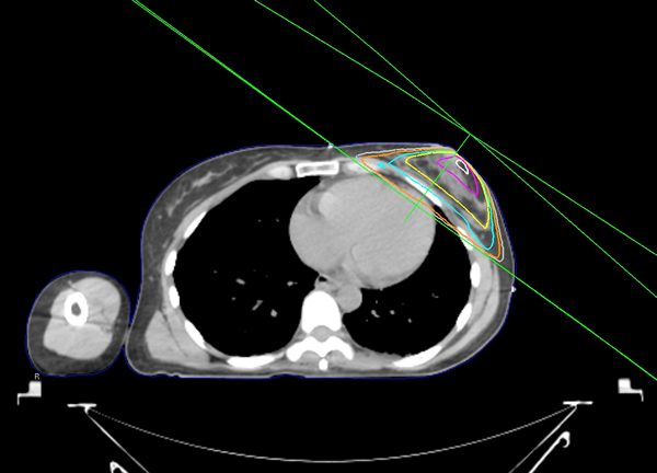
Treatment fields for Breast cancer are typically 2 tangent fields. The fields are angled slightly so there is a non-divergent border on the posterior side. This will help reduce unnecessary dose to the lung, heart, contralateral breast and other uninvolved areas. It is important to contour heart and lungs accurately so the Physician may see the dose to those structures and adjust fields accordingly, if necessary.

 |
Page 3 of 13 |
 |
|